Implantologie

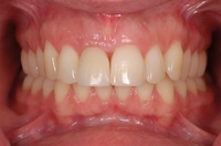
SKY elegance Abutments – individuelle Abutments mit „White Shade“ und…

SKY elegance abutments von bredent medical; Foto: Dr. Manolakis, SalonikiDunkle Schatten im Zahnfleischsaum können das Ergebnis von Implantatversorgungen genauso beeinträchtigen,…

13 Jahren ago

Periimplantitis erfolgreich behandeln mit der HELBO-Therapie: 1-Jahresdaten im Vergleich zur…

Periimplantitis erfolgreich behandeln mit der HELBO-TherapieDie Mediziner sind sich einig: Immer mehr Krankheitserreger entwickeln zunehmend Resistenzen gegen Antibiotika. Die HELBO-Therapie…

13 Jahren ago

SKY uni.cone Abutments – schmale Kiefer mit Brücken und Stegen…

SKY uni.cone Abutments von bredentSeit über sechs Jahren hat sich das SKY fast & fixed System im Markt bewährt und…

13 Jahren ago

Seminare für die Arzt- und Zahnarztpraxis

Deutsche Fortbildungsakademie Heilwesen, Fachkurse mit IHK Lehrgangszertifikat Deutsche Fortbildungsakademie HeilwesenDie Deutsche Fortbildungsakademie Heilwesen® bietet Arzt- und Zahnarztpraxen hochwertige Fortbildungen in…

13 Jahren ago

Mit dem TiSi.Snap Abutment einfach und preiswert zu implantatgetragenen Vollprothesen

TiSi.Snap Abutment von bredentMit TiSi.Snap Abutment ist es bredent gelungen, eine der preiswertesten, einfachsten und sichersten implantatprothetischen Lösungen für zahnlose…

13 Jahren ago

visio.lign Rot-Weiß-Ästhetik-Set – für individuelle Prothetik

visio.lign Rot-Weiß-Ästhetik-Set vom bredentMit dem neuen Rot-Weiß-Ästhetik-Set bietet bredent ein Komplettsortiment zur Herstellung und Individualisierung von Zahnfleischanteilen an Prothesen und…

13 Jahren ago

Photodynamik bei Parodontitis- und Periimplantitistherapie

HELBO®-Verfahren entspricht Kriterien zur Abrechnungsempfehlung der DKV HELBO®-Verfahren entspricht Kriterien zur Abrechnungsempfehlung der DKVSeit vielen Jahren ist der Begriff "Photodynamik"…

13 Jahren ago

Erstes implantologisches Fachbuch als multimediales iBook

40 Videos, 170 Bilder und Animationen liefern neue Einblicke in "Die Sinuslift-OP - Implantattherapie im lateralen Oberkiefer" Jena, 4. April…

13 Jahren ago

bredent group überzeugt mit Komplettlösungen auf der IDS 2013

bredent group zeigte Therapiekonzepte und Produktinnovationen auf der IDS Ein Rekordergebnis in jeder Beziehung: Die 35. Internationale Dental-Schau verabschiedete sich…

13 Jahren ago

Praxis des Monats: März 2013

Praxis Förster-Marenbach und MarenbachMit dieser Veröffentlichung möchte penta-sense besonders aktive Partnerpraxen aus dem Kooperationsnetzwerk präsentieren und vorstellen. Für den Monat…

13 Jahren ago